치과치료 중 신경치료 시 주의사항
천안 백년치과 함께하는 사회함께하는 사회 멸균소독100% 방역/멸균소독 디지털 임플란트네비게이션 임플란트
DENTAL, FAQ
카톡상담
네이버 예약
온라인예약 원하는 날짜/시간에 진료예약하는 시스템
  • 진료시간

    진료시간COUNSELLING HOURS

    평일 진료 : 오전09:30 ~ 오후19:00
    (점심시간 1:00 ~ 2:00)
    토요일 진료 : 오전09:30 ~ 오후14:00
    - 일요일, 공휴일 휴진
  • 온라인 상담/예약문의

    예약/상담문의RESERVATION

    041-561-2838 궁금한 치과치료 고민하지 말고 물어보세요!
    친절하게 상담해 드립니다.
온라인 상담/예약
치과위치 천안 백년치과 오시는길.
충남 천안시 서북구 성거읍 수청2길 21 2층
SKC 삼거리, 투썸플레이스 옆
상담/예약 041-561-2838
닫기
FAQ 치과 FAQ

치과치료 중 신경치료 시 주의사항

관리자 0 921 2022.05.07 14:27

치과치료에 있어 시술보다 중요한 것이 관리와 정기 검진입니다.

그리고 예방이 최우선인데요. 치료보다 예방을 중요시 하는 치과에서 치료를 받는 다면 안심하게 치료 받으실 수 있습니다.

그럼 신경치료에 대하여 알아보겠습니다.

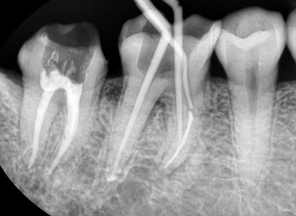
치과치료 중 신경치료는 극도로 상한 치아를 발치하기 전 시행하는 최후의 치료 방법입니다. 따라서 경우에 따라 완치가 불가능할 경우 치아를 발치할 수도 있습니다.

신경치료의 일반적인 성공률은 통계적으로 83%입니다. 그리고 어금니로 갈수록 실패율이 높아집니다.

​ 

1. 치료 : 신경치료는 머리카락과 같은 미세한 치아신경을 수차례 제거하고 소독한 후, 인공신경으로 교체하는 매우 까다로운 치료입니다.

신경치료는 일반적으로 3~4회 정도 치료를 받지만, 치아부위와 상태에 따라서 치료횟수가 늘어날 수 있습니다.

신경치료가 끝난 후에는 치아가 건조해져서 쉽게 깨지거나 부러질 수 있으니, 신경치료를 마친 치아를 반드시 금이나 세라믹으로 씌우는 치과치료를 하셔야 합니다.

2. 적응 : 치료 후에도 부분적으로 불쾌감, 시림, 치아 울림 등의 증상이 있을 수 있습니다. 이는 통증이나 온도에 따라 민감증과는 다르며, 시간이 지나면 사라지는 증상입니다.

3. 통증 : 치료 중이거나 치료 후에는 일시적인 통증과 불편감이 있을 수 있으니 필요한 경우에는 진통제를 복용해야 할 수 있습니다. 신경치료 후 통증은 큰 문제는 아닙니다. 하지만 치료 후 잇몸이 붓고 아프거나 열이나면 즉시 치과에 연락 및 내원하시어 검진을 받으셔야 합니다.




5a6afdfd83cedd205857e404084a9f21_1651901298_4138.jpg
 

신경치료 후 음식은 어떻게 하나요?

치료 후 임시 충전물이 부서지거나 탈락될 우려가 있으니 보철치료까지 완료하기 전에는 단단한 음식(무, 갈비, 오징어 등)을 치료부위로 절대 씹으시면 안됩니다. 치아 파절의 우려가 있습니다.

그리고, 신경치료 중에 치아에 통증이 없어지면 치과 내원을 중지하는 경우가 종종 있습니다.

이와 같이 치료를 중단하고 방치하게 되면 더 심각할 경우 치아를 상실하게 될 수 있으니 반드시 치과에 내원하여 치료를 마무리하셔야 합니다.



전화 상담/예약