ORTHODONTICS PROGRAM > 천안백년치과 - 100년을 생각하는 바른진료
천안 백년치과 함께하는 사회함께하는 사회 멸균소독100% 방역/멸균소독 디지털 임플란트네비게이션 임플란트
ORTHODONTICS PROGRAM
카톡상담
네이버 예약
온라인예약 원하는 날짜/시간에 진료예약하는 시스템
  • 진료시간

    진료시간COUNSELLING HOURS

    평일 진료 : 오전09:30 ~ 오후19:00
    (점심시간 1:00 ~ 2:00)
    토요일 진료 : 오전09:30 ~ 오후14:00
    - 일요일, 공휴일 휴진
  • 온라인 상담/예약문의

    예약/상담문의RESERVATION

    041-561-2838 궁금한 치과치료 고민하지 말고 물어보세요!
    친절하게 상담해 드립니다.
온라인 상담/예약
치과위치 천안 백년치과 오시는길.
충남 천안시 서북구 성거읍 수청2길 21 2층
SKC 삼거리, 투썸플레이스 옆
상담/예약 041-561-2838
닫기
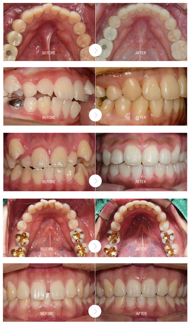
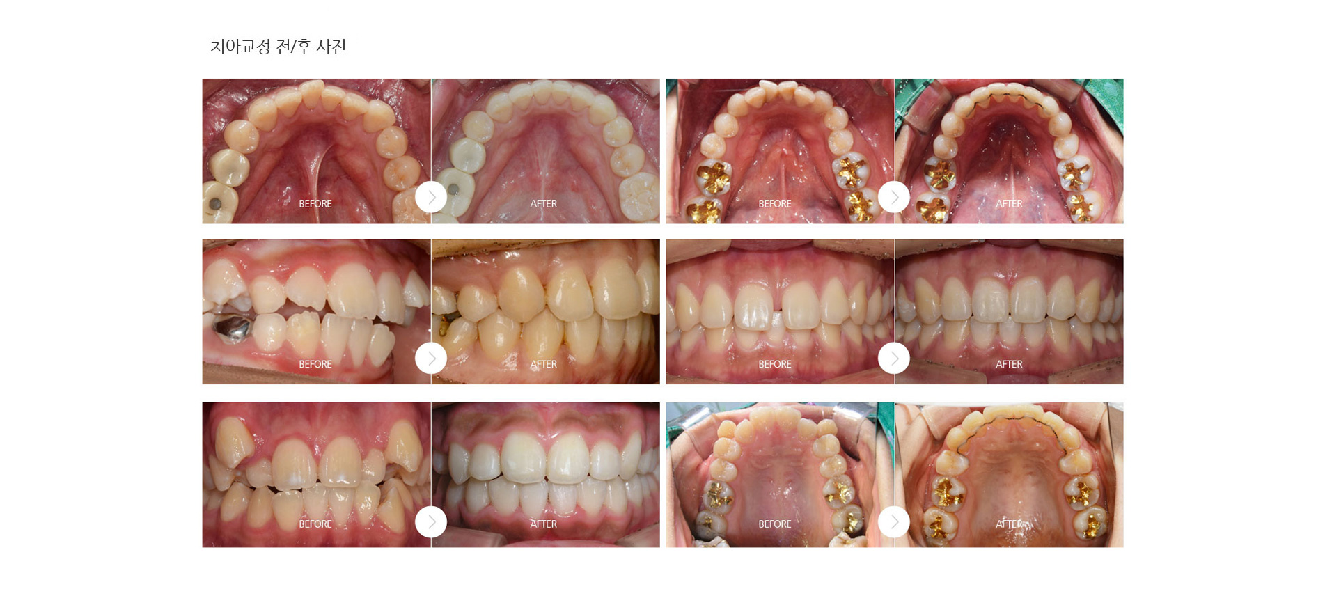
치과 치아교정 백년치과 디지털 교정 교정장치 재수술 임플란트 장치별 교정종류 온라인 상담 치아교정 전후사진 디지털 치아교정
네비게이션 임플란트
전체(무치악) 임플란트
상악동 거상술/치조골 이식술
원데이 즉시 임플란트
수술 전/후 주의사항
네비게이션 임플란트
전체(무치악) 임플란트
상악동거상술/치조골이식술
원데이 즉시 임플란트
임플란트 주의사항
전화 상담/예약