GOOD IMPLANT, DENTALCLINIC > 천안백년치과 - 100년을 생각하는 바른진료
천안 백년치과 함께하는 사회함께하는 사회 멸균소독100% 방역/멸균소독 디지털 임플란트네비게이션 임플란트
GOOD IMPLANT, DENTALCLINIC
카톡상담
네이버 예약
온라인예약 원하는 날짜/시간에 진료예약하는 시스템
  • 진료시간

    진료시간COUNSELLING HOURS

    평일 진료 : 오전09:30 ~ 오후19:00
    (점심시간 1:00 ~ 2:00)
    토요일 진료 : 오전09:30 ~ 오후14:00
    - 일요일, 공휴일 휴진
  • 온라인 상담/예약문의

    예약/상담문의RESERVATION

    041-561-2838 궁금한 치과치료 고민하지 말고 물어보세요!
    친절하게 상담해 드립니다.
온라인 상담/예약
치과위치 천안 백년치과 오시는길.
충남 천안시 서북구 성거읍 수청2길 21 2층
SKC 삼거리, 투썸플레이스 옆
상담/예약 041-561-2838
닫기
디지털 임플란
내 입속에 들어가는 임플란트, 아무거나 하시겠습니까? 디지털 임플란트의 중심 시뮬레이션으로 정확한 임플란트 수술

디지털 임플란트



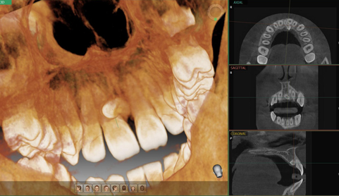
디지털 네비게이션 임플란트 수술
네비게이션 임플란트
보다 안전하고 정확하게 진행되는 디지털 임플란트로 체계적으로 진행

임플란트는 식립 위치가 중요합니다.
환자의 구강상태와 치조골 부위 등 환자의 상태에 따라 적합한 위치에 식립되어야 합니다.

디지털 임플란트는 수술중에 생기는 위험을 줄이고 최적의 위치를 찾아 안전하게 진행합니다.

임플란트 환자 인터뷰

창닫기

치과 3D 임플란트
보다 안전하고 확실한 임플란트 생각하면 두려운 임플란트 수술
수술 전 3D 디지털 시물레이션으로

수술 전 임플란트 위치를 잡아주는 컴퓨터 시물레이션
한치의 오차없이 정확하고 안전한 임플란트 수술이 가능합니다

임플란트 치료전/후 궁금한 디지털 임플란트 체크하세요
자세히보기
3D CT/파노라마 촬영을 통한 정확한 진단

3D CT/파노라마 촬영을 통한 정확한 진단

단순한 치료라도 3D-CT/파노라마을 통해서 체크!
오버덴처

임플란트 틀니(오버덴처)

일반 틀니의 단점을 보완한 임플란트 틀니(오버덴처).
상악동거상술/잇몸뼈이식술

치조골 이식술

잇몸뼈가 부족한 치아자리에 인공 뼈이식을 통한 임플란트 수술 진행.
임플란트 재수술

3D CT/파노라마

임플란트 주위염은 주변 치조골에 염증이 발생하게 되어 재수술이 진행.
임플란트 재수술

네비게이션 임플란트

디지털 시뮬레이션을 통한 정확한 식립 위치와 깊이 진단.
임플란트 재수술

임플란트 식립위치 선정

치아가 빠진 자리에 정교한 임플란트 식립.
3D CT/파노라마 촬영을 통한 정확한 진단

3D CT/파노라마 촬영을 통한 정확한 진단

단순한 치료라도 3D-CT/파노라마을 통해서 체크!
오버덴처

임플란트 틀니(오버덴처)

기본 틀니를 더욱 보완한 임플란트 틀니(오버덴처).
상악동거상술/잇몸뼈이식술

잇몸뼈 이식술

잇몸뼈가 부족한 치아자리에 인공뼈이식을 통한 임플란트 시술.
임플란트 재수술

3D CT/파노라마

디지털 임플란트를 정확한 재수술.
임플란트 재수술

네비게이션 임플란트

임플란트 공간 확보를 위한 정확한 진단.
임플란트 재수술

임플란트 위치 선정

치아가 빠진 자리에 정교한 임플란트 식립.

3D DIGITAL 임플란트는 적은 통증과 좀 더 빠른 치료 가능

안전한 임플란트 수술과 만족스러운 결과를 위해서는
우수한 장비 또한 매우 중요합니다

백년치과에서는 3D DIGITAL 장비 시스템을 통해
빠른 시간에 편안한 수술을 받으실 수 있습니다

치과의 모든 임플란트 치료는 세밀한 계획으로 진행되었기 때문입니다

디지털 치과 임플란트 과정 보다 안전하고 꼼꼼한 디지털 임플란트 수술 구강악안면외과 인정의 및 통합치의학전문의가 안전하고 정확한 임플란트 수술 진행

  • 안정하고 정교한 임플란트 수술 Step. 01
    진단 및 치료 계획 수립
    정밀한 진단과 치료계획의 수립은 성공적인 임플란트 수술의 시작입니다.

    치과는 저방사선 CT/PANO, 카보키레이저, 오스텔멘토, 무통마취기 등 디지털 의료장비를 통해 구강상태와 치조골의 정밀 진단, 전신 상태까지 세밀하게 검사하여 안전한 치료계획을 수립합니다.
  • 1차 임플란트 수술진행 Step. 02
    1차 임플란트 수술 진행
    임플란트 매식체를 턱뼈에 심는 과정으로 잇몸을 열고 정확한 위치에 정확한 각도로 심은 후 다시 잇몸을 덮습니다.

    일반적으로 아래턱의 경우 약 3개월, 윗턱의 경우 4개월 정도 치유 기간이 소요됩니다.
  • 2차 수술 진행 Step. 03
    2차 수술 진행
    잇몸 밖으로 기둥을 연결하여 앞으로 보철물이 장착될 수 있게 해주는 과정입니다.

    임플란트의 윗부분 잇몸만을 절개합니다.

    1차 수술과 준비 과정은 같지만 시간은 짧습니다.
    만들어진 구조물 위에 인공치아를 만들어 끼우면 임플란트 보철 완성됩니다.
  • 보철물 장착 Step. 04
    보철물 장착
    본을 떠서 최종 보철물을 장착하는 임플란트 치료의 마지막 과정으로 임플란트 시술은 끝나게 됩니다.
네비게이션 임플란트
무치악 임플란트
상악동 거상술/치조골 이식술
즉시 식립 임플란트
수술 전/후 주의사항
네비게이션 임플란트 시스템
전체(무치악) 임플란트
상악동거상술/치조골이식술
원데이 즉시 임플란트
임플란트 주의사항
전화 상담/예약