PROSTHETIC TREATMENT > 천안백년치과 - 100년을 생각하는 바른진료
천안 백년치과 함께하는 사회함께하는 사회 멸균소독100% 방역/멸균소독 디지털 임플란트네비게이션 임플란트
PROSTHETIC TREATMENT
카톡상담
네이버 예약
온라인예약 원하는 날짜/시간에 진료예약하는 시스템
  • 진료시간

    진료시간COUNSELLING HOURS

    평일 진료 : 오전09:30 ~ 오후19:00
    (점심시간 1:00 ~ 2:00)
    토요일 진료 : 오전09:30 ~ 오후14:00
    - 일요일, 공휴일 휴진
  • 온라인 상담/예약문의

    예약/상담문의RESERVATION

    041-561-2838 궁금한 치과치료 고민하지 말고 물어보세요!
    친절하게 상담해 드립니다.
온라인 상담/예약
치과위치 천안 백년치과 오시는길.
충남 천안시 서북구 성거읍 수청2길 21 2층
SKC 삼거리, 투썸플레이스 옆
상담/예약 041-561-2838
닫기

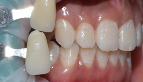
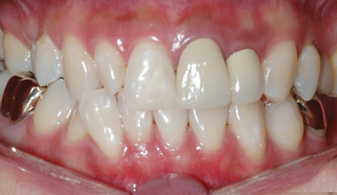
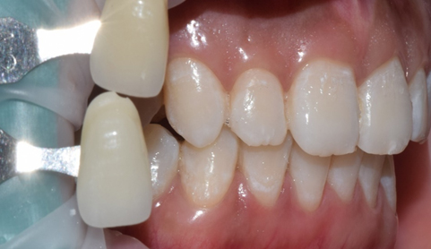
35세 남성 전문가미백

40대 남성 치아미백

자가미백 트레이

30대 여성 미백진행

25세 직장여성 미백

35세 남성 전문가미백

40대 남성 치아미백

자가미백 트레이

30대 여성 미백진행

25세 직장여성 미백

네비게이션 임플란트
무치악 전체 임플란트
상악동 거상술 | 잇몸뼈 이식술
1DAY 즉시 임플란트
수술 전/후 주의사항
네비게이션 임플란트 시스템
전체(무치악) 임플란트
상악동거상술 | 잇몸뼈이식술
ONEDAY 즉시 임플란트
임플란트 주의사항
전화 상담/예약