ORTHODONTICS > 천안백년치과 - 100년을 생각하는 바른진료
천안 백년치과 함께하는 사회함께하는 사회 멸균소독100% 방역/멸균소독 디지털 임플란트네비게이션 임플란트
ORTHODONTICS
카톡상담
네이버 예약
온라인예약 원하는 날짜/시간에 진료예약하는 시스템
  • 진료시간

    진료시간COUNSELLING HOURS

    평일 진료 : 오전09:30 ~ 오후19:00
    (점심시간 1:00 ~ 2:00)
    토요일 진료 : 오전09:30 ~ 오후14:00
    - 일요일, 공휴일 휴진
  • 온라인 상담/예약문의

    예약/상담문의RESERVATION

    041-561-2838 궁금한 치과치료 고민하지 말고 물어보세요!
    친절하게 상담해 드립니다.
온라인 상담/예약
치과위치 천안 백년치과 오시는길.
충남 천안시 서북구 성거읍 수청2길 21 2층
SKC 삼거리, 투썸플레이스 옆
상담/예약 041-561-2838
닫기
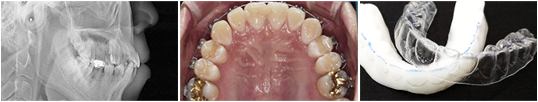
디지털 치아교정
얼굴 모습의 조화와 아름다운 미소까지 선사하는 교정
백년치과의 치아교정은 디지털 교정으로
보다 가지런하고
바른교정이 진행되고 있습니다.

치아교정은 교정상담에서 사후관리까지 책임지고 관리하여 만족도가 높습니다.

수준 높은 의료진은 개개인에 특화된 치료계획과 환자를 책임지는 사명감으로 10년, 20년 후에도
반듯함을 유지하는 치아교정의 효과를 얻으실 수 있습니다.

전문의 교정진단
네비게이션 임플란트
전체(무치악) 임플란트
상악동 거상술/치조골 이식술
원데이 즉시 임플란트
수술 전/후 주의사항
네비게이션 임플란트
전체(무치악) 임플란트
상악동 거상술/치조골 이식술
원데이 즉시 임플란트
임플란트 주의사항
전화 상담/예약